Fig. 3

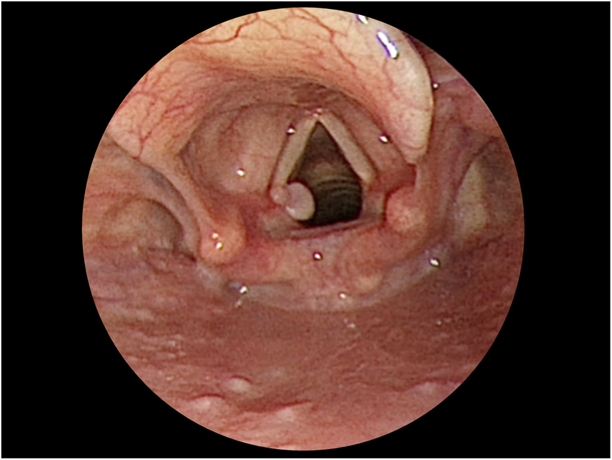
Vocal cord granuloma in case 2: A granuloma over the posteromedial aspect of the left vocal cord was noted 2 months after transoral right thyroidectomy. The location of the granuloma was similar to that of the granuloma in case 1

Vocal cord granuloma in case 2: A granuloma over the posteromedial aspect of the left vocal cord was noted 2 months after transoral right thyroidectomy. The location of the granuloma was similar to that of the granuloma in case 1